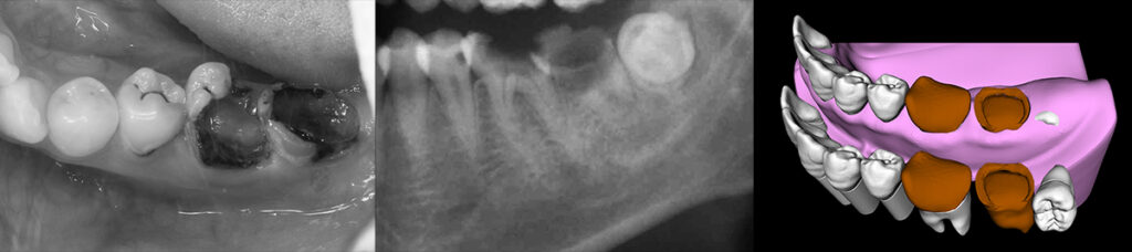
年配者と若者世代では歯科再建治療に対するアプローチはまったく異なる。 生存年数や活動年数が中高年世代と20代の世代では30年以上の実質差があり、長期的な戦略としてはエナメル質の保存、歯髄の保存が最優先し、生体としての自己再生能を維持すべき治療が推奨される。 以下の症例は治療開始時24歳で下顎第一大臼歯は歯冠崩壊が顕著であるも、歯根部はかろうじてカリエス進行から免れるが、第二大臼歯は完全に歯根も腐食して保存不能。
世代が上がれば後方の90度変位した埋伏智歯の移植利用を考えるが歯髄失活は免れないため、困難な矯正であるが萌出間もない大臼歯として今後を託せる生活歯のまま保存する。 矯正用のアンカースクリューと各種装置を智歯に接着させ、移動の各段階で交換しながら抜歯した第二大臼歯部に誘導する。 第一大臼歯は保存治療後ジルコニアセラミック冠で歯冠修復し約7年経過。 治療期間は 2017/12~2019/03

ムシバを放置したため歯冠崩壊顕著の大臼歯



前方大臼歯抜歯時に矯正用アンカーを歯槽骨にねじ込み、引張用のアタッチメントを智歯歯冠に接着
矯正力のかけ方は智歯の萌出状態によって変更


埋伏智歯の移動模式図



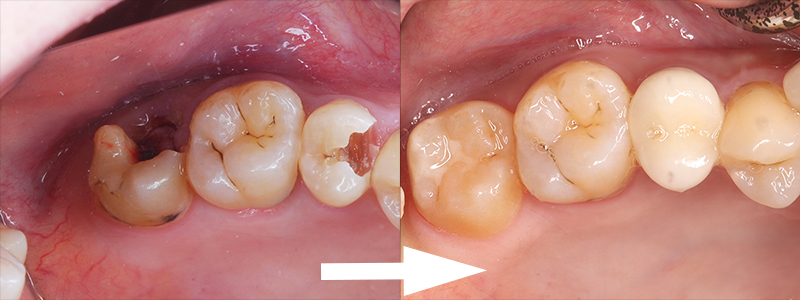
左:治療開始時2017/12 右:健診時2023/07
参考) 腐食した上顎第二大臼歯部に後方埋伏智歯を挺出矯正させ置き換えた例1




参考) 腐食した上顎第二大臼歯部に後方埋伏智歯を挺出矯正させ置き換えた例2




