重度に歯周病が進行したり広範囲の連結修復の崩壊があると、一気に総入れ歯に近い欠損補綴が必要となる。 口腔内の固定性修復に慣れていると、(着脱式義歯へのソフトランディングを期待したいものの)口の中を覆うような ”入れ歯” は異物感や機能的な変化以上に心理的にも大きな喪失感がもたらされるようである。 このサイトでは審美性を重視しているため、前歯と臼歯という植立方向の違いから内冠やアタッチメントが介在することが多く、自然な前歯の生え際の処理が難しい全顎的なインプラント修復をあまり取り上げていない。 また、歯肉形態を付与したボーンアンカードブリッジは上部構造下部領域の清掃性不良が常態化することもあり、容貌に ”ふくよかさ” が要求される場合を除いて経済性も含め安易な方法論と考えられる。 自然な歯冠部への移行があるようフィクスチャー植立が適確になされれば、修復された歯並びには清掃性とともに ”自然らしさ” が与えられるはずである。
なお、以下のような症例では修復作業と咬合の付与には最大限の緻密さが要求される。
参考症例

前歯部は内冠で臼歯部はスクリュー固定

歯冠は長いが口唇に隠れ口元の豊隆も十分

前歯4か所は前面セラミック焼き付けの内冠に上部構造を仮着し臼歯部とアタッチメントで連結固定

前歯部は内冠で臼歯部はスクリュー固定

すべて内冠にジルコニア一体型の上部構造を仮着

ピンクセラミックで歯肉形態付与(25年経過)

口元に見える前歯を自然にするため左側歯冠は長め
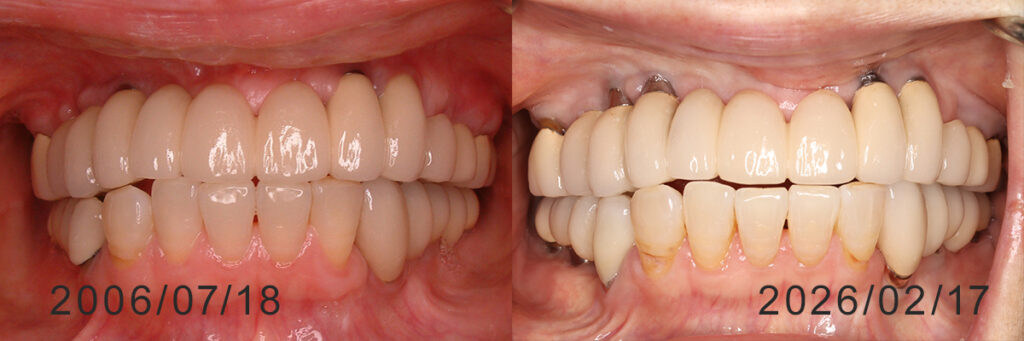
下は保存不能歯を逐次インプラントに置き換え、仮修復をしながら約2年で最終的に全歯列の修復になったもの。 貴金属の内冠を利用。 鋳造誤差やポーセレン焼き付けによる収縮を補正する最後方歯のフレームは完成時にカット。 治療完了後18年経過

完成時前面観と内冠印象後の作業模型上のフレーム



