片側臼歯部すべての上下歯牙の被蓋関係にすれ違いを呈する条件では、咬合高径(咬みあわせの高さ)を維持したまま上下臼歯が噛みあうように歯軸を整復するのは極めて困難をともなうが、矯正用のアンカースクリュー(赤矢印)を多数利用して圧下矯正と頬舌的なアップライトを試みれば、以下のように補綴修復の必用な歯牙であれば所要の位置関係まで回復すれば再建修復は達成可能である。 矯正期間は2011年7月より2012年11月。 2025年現在で約13年経過。 なお、全体的な再建治療なので前歯部位の深い被蓋関係も含め矯正と補綴修復。 マウスピース矯正では不可能なケースである。

術前の口腔内は左側臼歯がすれ違いを呈する

上顎臼歯は外方に傾斜し下顎臼歯は内側に傾斜

アンカースクリューを配置して臼歯をアップライト


下顎前歯部もアンカースクリューを利用し圧下矯正

上下の臼歯が垂直方向で適正な被蓋関係となる

術前術後の模型を後方より見る

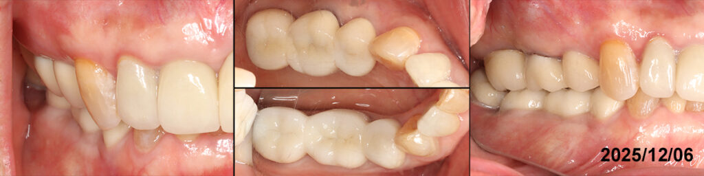
修復物は後戻り防止のため連結冠

臼歯部すれ違いの咬合再建13年後の口腔内

臼歯部すれ違いの咬合の再建:術前術後X線画像
