20代前半患者で大きな充填処置は施されているものの反対咬合の上顎側切歯を、部分的な矯正による圧下と前方傾斜移動によって、歯髄が生活したまま修復治療を完了させたケース。
CTを見るまでもなく歯冠が前方移動できる歯間スペースがなく、修復処置が前提であるため根面を隣在歯間を通過させた後に暫間クラウン(provisional restoration)で下顎前歯の前方に被蓋させ位置関係を固定し、通法の修復治療をおこなう。
このような薄い歯質の場合、長期的には象牙質の弾性が低下すると生活歯であっても歯冠部が破断する可能性がある。 高齢者の下顎前歯や上顎側切歯が歯髄の石灰化によりハセツが起こるのと同様に、歯髄支配がなくなると(新陳代謝の低下した)象牙質が脆弱化することに起因する。


治療直後の上下前歯の被蓋関係と術前の状態

模型により術前記録と全体像を把握

CT撮影により歯根の近接具合の確認とアンカースクリューの設置位置の確認

アンカースクリューによる圧下矯正と歯冠を歯肉下までスライスして前方傾斜移動

支台歯(修復前の形成歯)が対合前歯の前方に位置したら仮歯を装着し矯正は完了

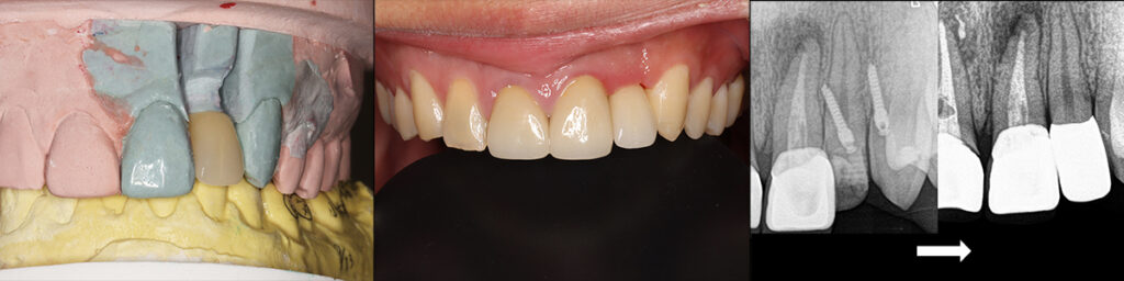
最終修復物(ジルコニアセラミック冠)と修復後画像 右はアンカースクリューと術後X線写真

装着後3か月 歯肉が安定化する
