MENU
  • HOME
  • OUR SITE(本サイトについて)
    • プライバシーポリシー
    • SITE MAP
  • TREAT
  • CREATE
  • COLUMN
  • SEARCH
  • INSTAGRAM
明眸皓歯
  • HOME
  • OUR SITE(本サイトについて)
    • プライバシーポリシー
    • SITE MAP
  • TREAT
  • CREATE
  • COLUMN
  • SEARCH
  • INSTAGRAM
  1. HOME
  2. 症例検索
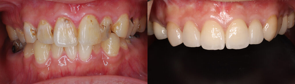
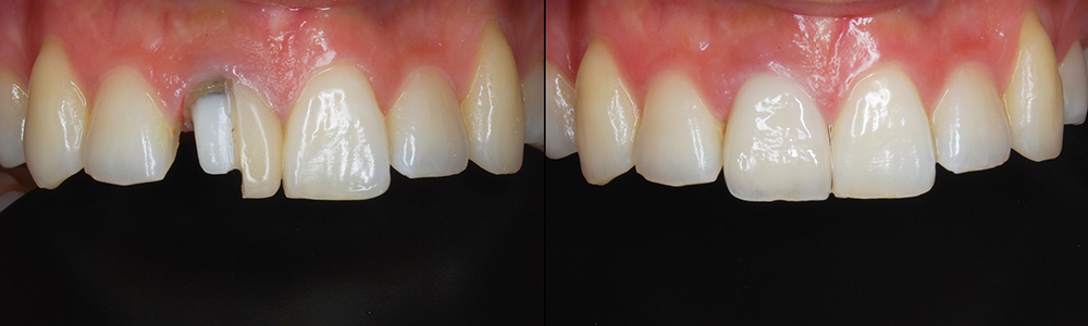
  3. 陶材焼付け金属冠
  4. 前歯修復治療のBefore After

前歯修復治療のBefore After

2024 8/05
2024年2月14日2024年8月5日

インプラントやブリッジのような歯牙欠損部のない前歯の通常歯冠修復

陶材焼付け金属冠 ジルコニア冠 ラミネートべニア
share this page!
  • URLをコピーしました!
  • 前歯矯正が必要な上あご中切歯の再修復
  • インプラント臼歯部位のアングル・ドライバーを利用した咬合面スクリュー固定

関連記事

  • 臼歯部叢生転移歯を矯正移動してブリッジ支台歯として利用
    2025年12月10日
  • 反対咬合の側切歯を矯正後に歯髄保存のまま歯冠修復
    2025年11月23日
  • 20代の歯冠崩壊の顕著な大臼歯への埋伏智歯の矯正を含めた再建
    2025年9月2日
  • 全歯列へのインプラント修復
    2025年8月27日
  • 臼歯部すれ違い咬合をアンカースクリューにて矯正後に再建修復
    2025年8月8日
  • 歯周病治療と部分矯正後に口腔内スキャンを利用し中切歯の修復
    2025年8月7日
  • 大臼歯前方傾斜のアップライト矯正による咬合再建
    2025年8月4日
  • 典型的な意図的再植例
    2025年8月1日
カテゴリー

© Meiboukoushi 2024 All rights reserved.

記事の目次